أنقى ابتسامة
نصنع تجارب ابتسامات استثنائية بمعايير طبيـة وإنسانيـة
لماذا أنقى ابتسامة؟
في مركز أنقى ابتسامة نؤمن بأن كل ابتسامة تستحق أفضل رعاية. نجمع بين أحدث التقنيات الطبية والتعامل الإنساني لنقدم لك تجربة علاجية استثنائية.
يضم مركزنا نخبة من الأطباء المتخصصين في زراعة وتقويم وتجميل الأسنان والجلدية، مع بيئة عيادية حديثة ومريحة.
كادر طبي متخصص
أطباء بخبرة تفوق ١٠ سنوات
تقنيات حديثة
أحدث الأجهزة والتقنيات العالمية
رعاية إنسانية
راحة المريض أولويتنا
تقسيط مريح
تابي وتمارا وسهّلها
خدماتنا
نقدم مجموعة شاملة من خدمات طب الأسنان والتجميل
أسنان الأطفال
رعاية متخصصة لأسنان الأطفال في بيئة مريحة
الجلدية والتجميل
خدمات جلدية وتجميلية متكاملة
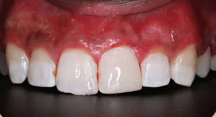
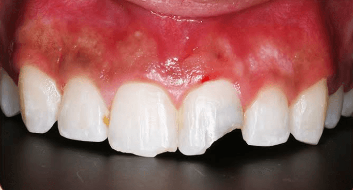
نتائج تتحدث عن نفسها
شاهد الفرق الحقيقي الذي نصنعه




فريقنا الطبي
نخبة من الأطباء المتخصصين

د. عصام الشميري
استشاري زراعة وتجميل الأسنان

د. عبدالإله الحازمي
طب وجراحة الفم والأسنان

د. أثير حسن خواجي
جراحة الفم والفكين

د. رشيكا ريدي
أخصائية تقويم أسنان

د. روان دوش
أخصائية تقويم أسنان

د. حامد ذباب
طبيب أسنان عام

د. أمل العبسي
طبيبة أسنان عامة

د. سارة صوري
طبيبة أسنان عامة

د. زرعة دهاس
طبيبة أسنان عامة
من داخل العيادة
شاهد فريقنا الطبي أثناء العمل

ابتسامتك تبدأ من هنا
نحن نؤمن بأن كل شخص يستحق ابتسامة تعكس ثقته. دعنا نصنع ابتسامتك المثالية.
ابدأ رحلتك الآنخيارات دفع مريحة
قسّط علاجك بدون هم

موقعنا
العنوان
صبيا - الحسيني - طريق العيدابي
منطقة جازان - المملكة العربية السعودية
الهاتف
0550133938أوقات العمل
٨:٠٠ ص - ١١:٠٠ م | كل يوم








